Achieve a perfectly aligned smile with nearly invisible, custom-made Invisalign clear aligners.

Invisalign is an advanced orthodontic treatment that uses a series of clear, removable aligners to gradually straighten teeth. Designed for comfort and convenience, Invisalign allows you to eat, brush, and floss normally while achieving predictable and precise results. It is ideal for teens and adults looking for a discreet alternative to traditional braces. Our dental experts customize each treatment plan using digital scanning technology for optimal results.
Schedule your appointment today
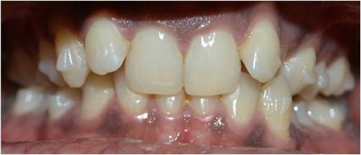
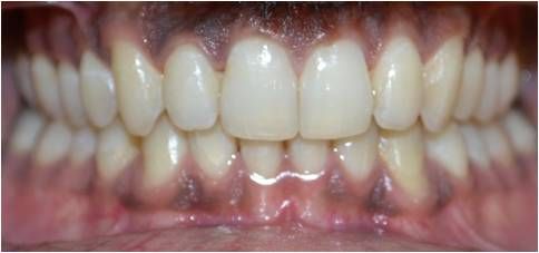
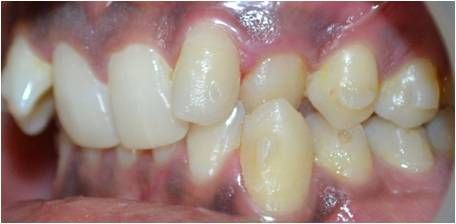
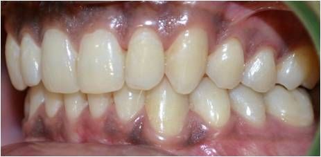
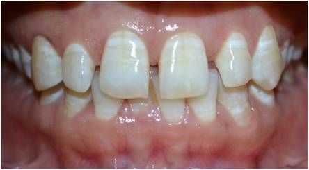
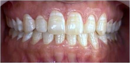
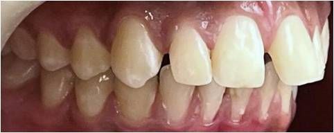
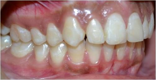
See the transformative results our patients have achieved







