Numbers that speak for our commitment to excellence
Detailed case studies showcasing our comprehensive dental treatments
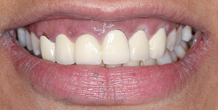
Unaesthetic and infected joint long bridge which made patient always unhappy to smile. Life like restorations with minimal invasive work.


Young woman with multiple cavities in front teeth which was causing sensitivity and food lodgement apart from unaesthetic appearance. We did single sitting fillings with colour matched composite resins.


She never liked her teeth but did not want to get any caps or extensive work on them. We did composite bonded restorations and made her like her smile forever.


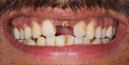
He had lost one tooth while he was a teenager. When the other front tooth which was treated temporarily also fractured, he was devastated. We did braces to create lost space and placed 2 implants and beautiful caps.


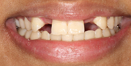
Young woman who has 2 incisors missing by birth was always struggling with many removable options to cover the gaps. We provided permanent solution by placing 2 implants and caps.


Real experiences from our satisfied patients
"Fully professional dental clinic. Dr Kamala is the best dentist, carries expertise in bite issues, implants with crowns. Intact other doctors are also very good. Outstanding performance of all Doctors, Nivea and staff. Wish all good luck and success."
"Kamala Dental Care is an excellent place to take care of one's Teeth. The care and personal touch of Dr Kamala and her team of doctors is of concern and relief with genuine cost. A place to visit and take care of your Dental. Best wishes. š"
"I went to Dr Kamala for my periodical teeth cleaning, I was pleasantly surprised to find that the old method of scaling had been mostly done away with and replaced with an Air Abrasive Unit which cleans and whitens the teeth. I was done with everything in 20 minutes and Iād highly recommend Dr Kamala and this treatment."