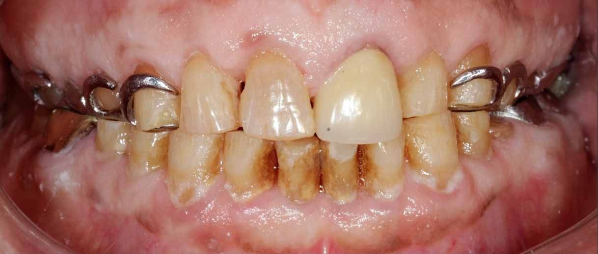
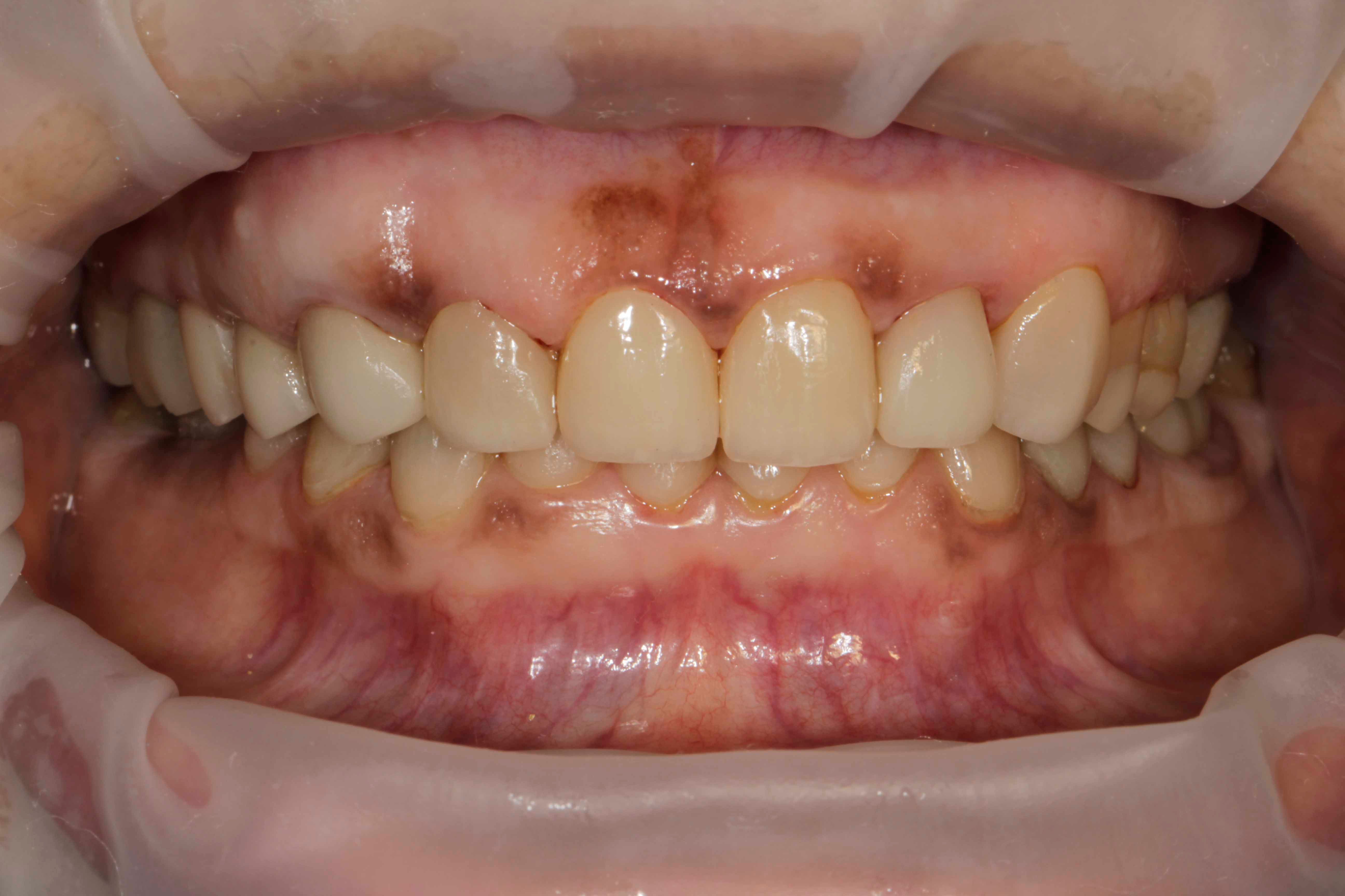
Comprehensive restoration of all teeth to improve function, aesthetics, and oral health.

Dr Kamala specialises in Full mouth Rehabilitation and we as a team are highly skilled and trained to correct completely worn out teeth and complex cases which require full mouth rehabilitation. \n\nFull mouth rehabilitation focuses on repairing and replacing damaged or missing teeth to restore function, comfort, and aesthetics. We use the latest materials and techniques to provide durable, natural-looking restorations.
Schedule your appointment today
See the transformative results our patients have achieved





